Плоскоклеточные папилломы могут появляться как на кожных покровах, так и на слизистых оболочках больного. Число наростов варьируется от множественных мелких до единичных крупных новообразований. Такие высыпания отличаются разнообразием, а места их появления очень многочисленны.
Что это такое?
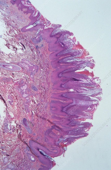
Плоскоклеточная папиллома (ПП) представляет собой доброкачественное новообразование, которое в будущем может переродиться в злокачественную опухоль. Эти наросты поражают несколько слоев эпителия, покрывающего место локализации папилломы. Обычно ПП покрывает гениталии, кожу лица, ротовую полость. Иногда новообразования могут затрагивать внутренние органы, например, пищевод.
Врачи отмечают, что плоскоклеточная папиллома представляет собой доброкачественное новообразование, возникающее из плоского эпителия. Клинические особенности этого заболевания могут варьироваться в зависимости от локализации и размеров образования. Обычно папилломы имеют характерный вид: они могут быть как одиночными, так и множественными, часто проявляясь на коже, слизистых оболочках или в области половых органов. Врачи подчеркивают, что такие образования могут вызывать дискомфорт, зуд или даже воспаление, что требует внимательного наблюдения и, при необходимости, лечения. Важно отметить, что хотя плоскоклеточные папилломы обычно не перерождаются в злокачественные опухоли, их наличие может быть связано с вирусом папилломы человека, что требует дополнительного обследования и мониторинга. Врачи рекомендуют регулярные осмотры и консультации для своевременного выявления возможных изменений в состоянии здоровья.

Как это выглядит?
Плоскоклеточные папилломы всегда немного возвышаются над кожным покровом. Каждый нарост имеет небольшую ножку, на которой располагается широкое основание. Размер таких папиллом обычное не превышает 2-3 см, самые маленькие могут быть всего 1 мм.
При пальпации папилломы не причиняют боли. Наощупь наросты мягкие, по цвету не отличаются от тканей, располагающихся рядом. Однако протекание болезни может быть осложнено наличием гиперкератоза. В этом случае наблюдается ороговение кожи, а сама папиллома становится жесткой, начинает шелушиться. При этом она изменяет цвет на сероватый, бурый или коричневый.
ПП также отличаются по глубине своего расположения. Они могут врастать глубоко, локализуясь под эпителием, а могут располагаться на поверхности кожи.
Причины
Появление любой разновидности папиллом спровоцировано проникновением в организм больного папилломавируса (ВПЧ). Он может оставаться в организме долгое время в «спящем» состоянии, не проявляя себя в виде высыпаний. Основная причина активизации вируса – ослабление иммунитета, являющегося естественной защитой организма от инфекций.
Факторами, провоцирующими распространение папиллом, являются:
- пожилой или детский возраст;
- наличие других заболеваний кожных покровов;
- обострение хронических болезней;
- гормональные проблемы;
- период беременности.
Заражение вирусом может произойти несколькими путями:
- незащищенный половой акт с носителем ВПЧ;
- бытовой контакт с вещами зараженного;
- через естественные родовые пути от матери к ребенку.
При этом пути заражения передают разные типы вируса, различающиеся по степени онкогенности.
Клинические особенности плоскоклеточной папилломы вызывают интерес у специалистов и пациентов. Многие отмечают, что это образование часто проявляется в виде небольших, безболезненных узелков на коже или слизистых оболочках. Внешний вид папилломы может варьироваться: от гладкой до шероховатой поверхности, что зависит от локализации и индивидуальных особенностей организма. Некоторые пациенты сообщают о склонности к рецидивам, особенно при наличии предрасполагающих факторов, таких как вирусные инфекции или ослабленный иммунитет. Важно отметить, что плоскоклеточные папилломы могут быть ассоциированы с определенными вирусами, что подчеркивает необходимость регулярного наблюдения и, при необходимости, лечения. В целом, мнения людей о плоскоклеточной папилломе подчеркивают важность ранней диагностики и индивидуального подхода к каждому случаю.

Симптомы
Главные симптомы развития папиллом:
- возникновение высыпаний;
- ороговение и шелушение кожи в пораженной области;
- отек или припухлость;
- зуд или жжение в месте высыпания;
- покраснение в месте локализации нароста.
При этом симптомы развития папиллом могут отличаться в зависимости от места нахождения.
Места локализации
Плоскоклеточные папилломы отличаются большой распространенностью и могут возникать на многих участках.

Лицо
Именно кожа лица чаще всего страдает от наличия вирусных новообразований. Обычно они поражают веки, шею или область за ухом. В этих местах нежная кожа, склонная к повышенной травматизации, что может усугубить процесс протекания заболевания.
Если ПП появляется в области века, опасности могут быть подвергнуты глаза. Это влечет за собой потенциальную потерю зрения, поэтому наросты необходимо удалять. В этой области папилломы обычно имеют небольшой размер и отличаются медленным ростом.
Пищевод
Плоскоклеточные папилломы в области пищевода, как правило, единичны. При их наличии у больного отмечается такая симптоматика как:
- отрыжка;
- тошнота;
- интенсивное слюноотделение;
- боли в желудке.
Новообразования в пищеводе считаются редким видом наростов, который практически не встречается.
Шейка матки
ПП на слизистых покровах шейки матки сложно диагностировать без осмотра гинеколога. Долгое время заболевание в этой области может протекать бессимптомно. Только спустя несколько лет ВПЧ приводит к развитию дисплазии шейки матки. При этом немногочисленные симптомы в виде зуда, изменения обильности выделений не прямо указывают на эту патологию.
Гинеколог определяет наличие проблемы при визуальном осмотре. В некоторых случаях для диагностики применяется кольпоскопия.
Гортань
Заметить наличие нароста в области гортани можно по таким признакам как:
- появление охриплости голоса;
- затрудненное дыхание;
- проблемы с проглатыванием пищи.
Обычно такой тип новообразований характерен для детей. Наличие множественных наростов свидетельствует о папилломатозе гортани.
У этой разновидности папиллом присутствует ножка, которая может оторваться от своего места и оказаться в дыхательных путях. Это грозит пациенту опасностью задохнуться. Поэтому такие наросты необходимо удалять, не дожидаясь их разрастания.
Диагностика
Плоскоклеточные папилломы, располагающиеся в видных местах, возможно диагностировать уже при поверхностном визуальном осмотре у дерматолога. Если высыпания появляются на половых органах или в пищеводе, необходимо обращаться к гинекологу или гастроэнтерологу. Для уточнения диагноза проводятся специальные тесты, чувствительные к наличию вируса.
Для диагностики новообразований в труднодоступных местах, например, в желудочно-кишечном тракте, применяют зондовое обследование.
Ряд диагностических мероприятий включает в себя:
- ПЦР-анализ;
- гистологию;
- биопсию;
- общий анализ крови.
Часть из этих тестов направлена на определение онкогенности имеющейся папилломы. Специалисту важно проверить, не переродился ли нарост в злокачественную опухоль. Ее удаление может быть опасно для жизни и здоровья больного.
Чем это опасно?
Плоскоклеточные папилломы, вызванные ВПЧ, могут не проявляться долгое время, скрывая присутствие вируса. Кроме того, некоторые из наростов появляются в незаметных местах и отличаются медленным ростом, из-за чего заметить их самостоятельно становится невозможно.
При длительном пребывании в организме такие опухоли могут повлечь не только негативную симптоматику, но и переродиться в злокачественное новообразование.
Малигнизация плоскоклеточной папилломы
Малигнизация представляет собой процесс озлокачествления нароста. Больше всего этому подвержены больные мужского пола в возрасте 40-50 лет. Малигнизация может растягиваться на разный срок: от 1 года до 16 лет. Чаще всего злокачественное новообразование развивается в срок до 10 лет после появления папилломы.
Плоскоклеточная папиллома с гиперкератозом
Гиперкератоз – заболевание, характеризующееся значительным уплотнением кожных покровов. Верхний слой кожи перестает отшелушиваться, в результате чего происходит утолщение. Такой процесс может затрагивать не только кожу в пораженной области, но и сам нарост. В этом случае папиллома становится твердой на ощупь и начинает активно расти.
Однозначная причина возникновения гиперкератоза до сих пор не найдена. В числе возможных факторов генетическая предрасположенность: в организме больного может содержаться много кератина.
Другая причина, провоцирующая развитие заболевания, постоянное натирание папилломы. Это происходит за счет трения через одежду или белье, неудобную обувь, украшения, неосторожное движение мочалкой или расчёской. Например, гиперкератоз характерен для наростов в области подошв, постоянно соприкасающихся с твердым покрытием и находящимся под давлением веса.
Лечение
Терапия плоскоклеточных папиллом включает в себя как оперативное вмешательство, так и консервативное лечение. Первое необходимо для удаления нароста, представляющего потенциальную опасность для пациента. Деструкция папилломы проводится следующими способами:
- криотерапия;
- лазерное удаление;
- хирургическое иссечение;
- радиохирургия;
- электрокоагуляция.
Консервативная терапия включает в себя прием противовирусных средств и иммуномодуляторов, обеспечивающих борьбу с вирусом изнутри.
Вопрос-ответ
Каковы клинические проявления плоскоклеточной папилломы?
Клинически папилломы выглядят как розовые, мясистые образования, часто имеющие неровную, похожую на цветную капусту поверхность. Большинство плоскоклеточных папиллом протекают бессимптомно, не сопровождаются конъюнктивитом и легко обнаруживаются.
Что такое плоскоклеточные папилломы?
Плоские папилломы – это незлокачественные новообразования, которые со временем не перерастут в рак. Однако наросты, вызванные человеческим папилломавирусом (ВПЧ), могут со временем вырасти повторно или могут развиться новые новообразования, если другие плоские клетки в том же районе также заражены вирусом.
Каковы клинические проявления папилломы?
Результаты физикального обследования. Папилломы могут проявляться в виде единичных или множественных плотных папул. Эти поражения обычно выглядят на коже как шероховатые и плотные папулы, часто покрытые гиперкератинизированной кожей.
Как возникает плоскоклеточная папиллома?
С развитием плоскоклеточной папилломы полости рта связаны несколько факторов, таких как употребление табака, алкоголя, гормональные изменения и иммунодепрессия. Кроме того, некоторые штаммы вируса папилломы человека, в частности ВПЧ-6 и ВПЧ-11, были связаны с развитием плоскоклеточной папилломы полости рта.
Советы
СОВЕТ №1
Обратите внимание на изменения кожи: регулярно проверяйте свои родинки и папилломы на наличие изменений в размере, форме или цвете. Это поможет выявить возможные проблемы на ранней стадии.
СОВЕТ №2
Консультируйтесь с дерматологом: если у вас есть подозрения на плоскоклеточную папилломы или другие кожные образования, не откладывайте визит к специалисту. Ранняя диагностика и лечение могут предотвратить развитие осложнений.
СОВЕТ №3
Изучите факторы риска: ознакомьтесь с факторами, способствующими развитию плоскоклеточной папилломы, такими как солнечное излучение, курение и ослабленный иммунитет. Это поможет вам принять меры для снижения риска.
СОВЕТ №4
Следите за своим здоровьем: поддерживайте иммунную систему, правильно питаясь, занимаясь физической активностью и избегая вредных привычек. Здоровый образ жизни может снизить риск возникновения кожных заболеваний.









